Clique nas imagens para ampliar
AS VANTAGENS DA IMPRESSORA PARA IMPRIMIR TOMOGRAFIA
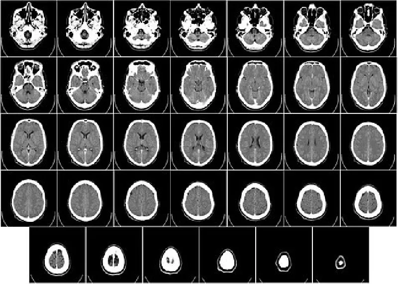
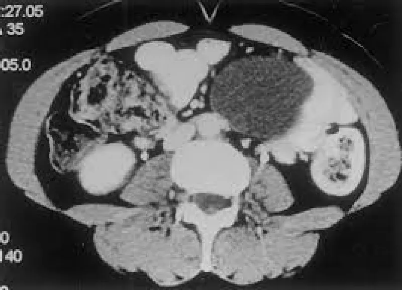
O uso da impressora para imprimir tomografia tem sido muito comum em clínicas e hospitais, afinal, este equipamento proporciona alta tecnologia e eficiência para a impressão deste tipo de exame em papel, dispensando o uso do filme dry e, consequentemente, gerando diversas vantagens para empresas do ramo da saúde e para pacientes. A tomografia é um exame que tem como objetivo gerar imagens da parte interna do corpo por meio de raios-x. Estas imagens são armazenadas em um computador, onde podem ser alteradas em aspectos como cor e contraste, e depois são submetidas à impressão em papel.
Uma das maiores vantagens da utilização da impressora para imprimir tomografia é o fato de que a altíssima qualidade da imagem impressa que chega às mãos do profissional de medicina permite um diagnóstico melhor e mais preciso, o que é fundamental para o atendimento adequado do paciente. Além disso, o processo realizado com a impressora para imprimir tomografia é praticamente instantâneo, o que agiliza bastante o diagnóstico. Isto pode ser crucial para a eficiência de um tratamento, por exemplo, além de ampliar a produtividade nas salas de exames de clínicas e hospitais.
O ALUGUEL DA IMPRESSORA PARA IMPRIMIR TOMOGRAFIA
A forma mais eficiente e econômica de utilizar a impressora para imprimir tomografia em clínicas e hospitais é por meio do serviço de aluguel deste equipamento, também conhecido como outsourcing de impressão. Este serviço, prestado pela A Copiadora, permite que os clientes tenham acesso a:
Uma terceirização dos serviços de impressão em ambientes clínicos e hospitalares;
Uma impressora para imprimir tomografia de alta tecnologia e qualidade, sempre em ótimas condições;
Um suporte constante, realizado por profissionais aptos para serviços de manutenção e reposição de insumos;
Um gerenciamento eficiente dos insumos e dos equipamentos, o que reduz custos e assegura produtividade.
INFORMAÇÕES SOBRE A COPIADORA
Atuando há vários anos no outsourcing de impressão, A Copiadora tem proporcionado a clientes diversos as melhores soluções por meio de impressoras, multifuncionais e etiquetadoras de qualidade elevada.
Entre os clientes da empresa estão clínicas, hospitais, papelarias, escolas, escritórios de advocacia e contabilidade, entre outros que buscam reduzir seus custos com equipamentos e insumos de impressão e assegurar excelentes resultados.
Para saber mais sobre Impressora para imprimir tomografia
Ligue para 19 3831-4989 ou clique aqui e entre em contato por email.Gostou? compartilhe!
