Rua José Bueno Ávila, 600 - Mogi Guaçu - SP 19 3831-4989 19 99764-1645

Empresa de Impressoras para imprimir exames de imagem

Clique nas imagens para ampliar

CONTRATAÇÃO DE EMPRESA DE IMPRESSORAS PARA IMPRIMIR EXAMES DE IMAGEM

Contar com os serviços de uma empresa de impressoras para imprimir exames de imagem proporciona aos hospitais e clínicas de diversos tamanhos e especialidades uma melhor agilidade em seus processos, tornando-os também muito mais seguros do que os feitos no antigo processo de impressão, chamado de filme dry.

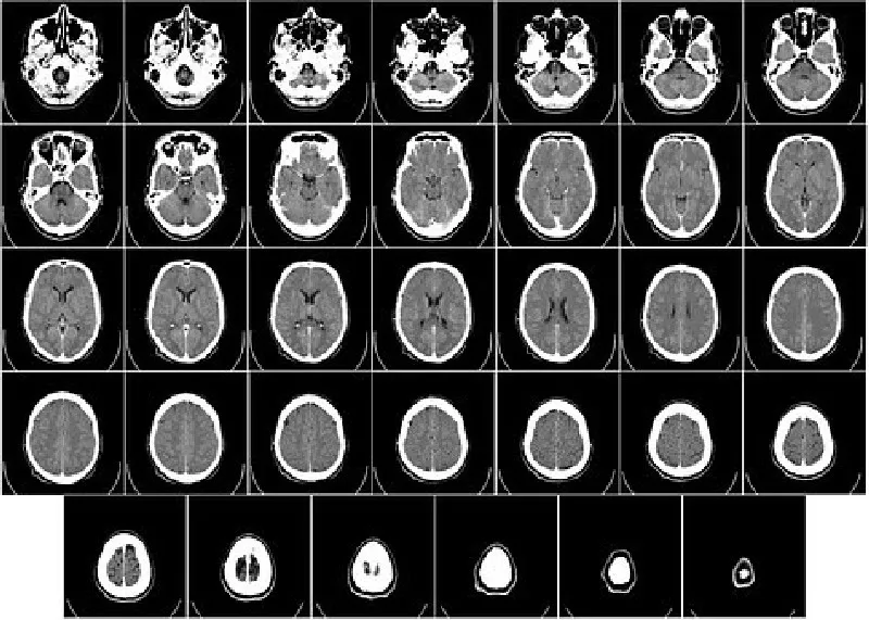
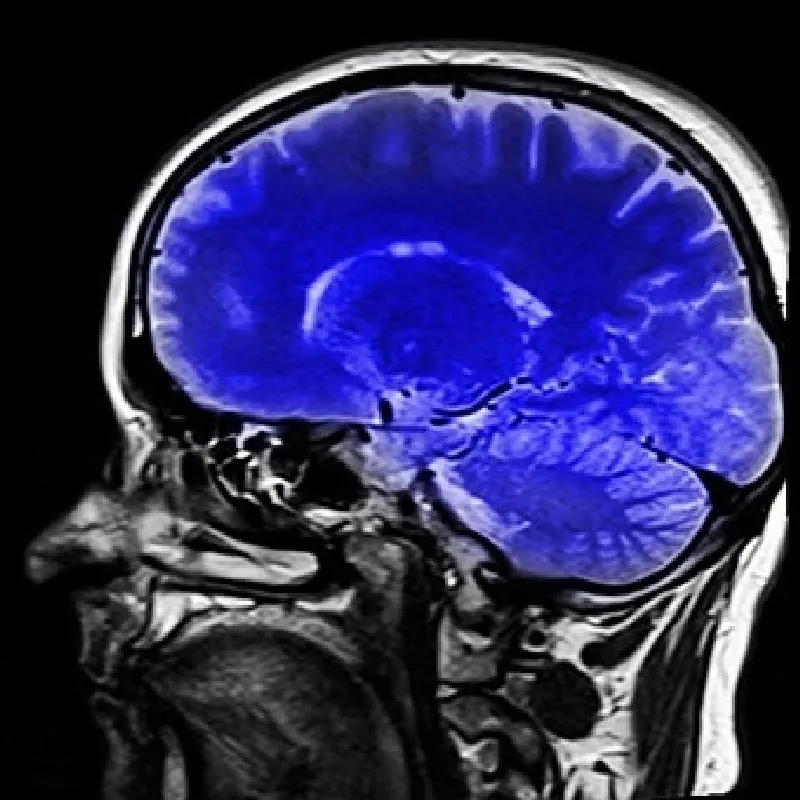
Este processo realizado pela empresa de impressoras para imprimir exames de imagem permite alcançar qualidade inquestionável com reconstruções em 3D e exames coloridos. 

VANTAGENS AO CONTRATAR EMPRESA DE IMPRESSORAS PARA IMPRIMIR EXAMES DE IMAGEM OFERECE

Com a contratação dos serviços de empresa de impressoras para imprimir exames de imagem, os clientes terão exames em papel com cores realistas, vibrantes e vivas, em alta definição e qualidade fotográfica, o que facilita na identificação e constatação de diagnósticos.

A integração com os sistemas médicos PACS, HIS e RIS tornam o gerenciamento de recursos mais eficiente. A empresa de impressoras para imprimir exames de imagem pode realizar serviços em harmonia com os aparelhos de diagnóstico por imagem ou conversores específicos.

Nestes tipos de serviços, é possível locar variados tipos de equipamentos de impressão para exames de imagem. Além disso, há benefícios como:

manutenção periódica dos equipamentos de impressão;

correta destinação dos resíduos;

equipe responsável pelo manuseio dos equipamentos treinada;

possibilidade de gerenciamento a distância das cópias impressas; e

reposição dos suprimentos das máquinas.

EMPRESA DE IMPRESSORAS PARA IMPRIMIR EXAMES DE IMAGEM DA A COPIADORA

Todo o processamento da imagem pode ser enviado de forma direta às plataformas de emissão dos laudos. E tudo a distância. A empresa, por sua vez, realiza o repasse dos exames para os especialistas, que definirá o laudo médico. No ramo de impressoras e copiadoras há quase cinco décadas, a A Copiadora é uma empresa fundada há mais de 15 anos, em Mogi Guaçu, com os profissionais mais competentes no segmento. Comprometidos com as soluções ofertadas, o objetivo de A Copiadora é criar serviços e produtos de extrema eficácia, com ideias e produtos criativos e úteis para seus clientes. A A Copiadora oferece produtos para diversos perfis de clientes, desde São Paulo a cidades num raio de 150 km de sua sede.

Para saber mais sobre Empresa de Impressoras para imprimir exames de imagem

Ligue para 19 3831-4989 ou clique aqui e entre em contato por email.

Gostou? compartilhe!

Solicite um orçamento




Regiões onde a A Copiadora atende Empresa de Impressoras para imprimir exames de imagem:


  • Aclimação
  • Bela Vista
  • Bom Retiro
  • Brás
  • Cambuci
  • Centro
  • Consolação
  • Higienópolis
  • Glicério
  • Liberdade
  • Luz
  • Pari
  • República
  • Santa Cecília
  • Santa Efigênia
  • Vila Buarque
  • Brasilândia
  • Cachoeirinha
  • Casa Verde
  • Imirim
  • Jaçanã
  • Jardim São Paulo
  • Lauzane Paulista
  • Mandaqui
  • Santana
  • Tremembé
  • Tucuruvi
  • Vila Guilherme
  • Vila Gustavo
  • Vila Maria
  • Vila Medeiros
  • Água Branca
  • Bairro do Limão
  • Barra Funda
  • Alto da Lapa
  • Alto de Pinheiros
  • Butantã
  • Freguesia do Ó
  • Jaguaré
  • Jaraguá
  • Jardim Bonfiglioli
  • Lapa
  • Pacaembú
  • Perdizes
  • Perús
  • Pinheiros
  • Pirituba
  • Raposo Tavares
  • Rio Pequeno
  • São Domingos
  • Sumaré
  • Vila Leopoldina
  • Vila Sonia
  • Aeroporto
  • Água Funda
  • Brooklin
  • Campo Belo
  • Campo Grande
  • Campo Limpo
  • Capão Redondo
  • Cidade Ademar
  • Cidade Dutra
  • Cidade Jardim
  • Grajaú
  • Ibirapuera
  • Interlagos
  • Ipiranga
  • Itaim Bibi
  • Jabaquara
  • Jardim Ângela
  • Jardim América
  • Jardim Europa
  • Jardim Paulista
  • Jardim Paulistano
  • Jardim São Luiz
  • Jardins
  • Jockey Club
  • M'Boi Mirim
  • Moema
  • Morumbi
  • Parelheiros
  • Pedreira
  • Sacomã
  • Santo Amaro
  • Saúde
  • Socorro
  • Vila Andrade
  • Vila Mariana
  • Água Rasa
  • Anália Franco
  • Aricanduva
  • Artur Alvim
  • Belém
  • Cidade Patriarca
  • Cidade Tiradentes
  • Engenheiro Goulart
  • Ermelino Matarazzo
  • Guianazes
  • Itaim Paulista
  • Itaquera
  • Jardim Iguatemi
  • José Bonifácio
  • Moóca
  • Parque do Carmo
  • Parque São Lucas
  • Parque São Rafael
  • Penha
  • Ponte Rasa
  • São Mateus
  • São Miguel Paulista
  • Sapopemba
  • Tatuapé
  • Vila Carrão
  • Vila Curuçá
  • Vila Esperança
  • Vila Formosa
  • Vila Matilde
  • Vila Prudente
  • São Caetano do sul
  • São Bernardo do Campo
  • Santo André
  • Diadema
  • Guarulhos
  • Suzano
  • Ribeirão Pires
  • Mauá
  • Embu
  • Embu Guaçú
  • Embu das Artes
  • Itapecerica da Serra
  • Osasco
  • Barueri
  • Jandira
  • Cotia
  • Itapevi
  • Santana de Parnaíba
  • Caierias
  • Franco da Rocha
  • Taboão da Serra
  • Cajamar
  • Arujá
  • Alphaville
  • Mairiporã
  • ABC
  • ABCD
  • Bertioga
  • Cananéia
  • Caraguatatuba
  • Cubatão
  • Guarujá
  • Ilha Comprida
  • Iguape
  • Ilhabela
  • Itanhaém
  • Mongaguá
  • Riviera de São Lourenço
  • Santos
  • São Vicente
  • Praia Grande
  • Ubatuba
  • São Sebastião
  • Peruíbe

chamar no WhatsApp
chamar no WhatsApp
Comercial A Copiadora www.acopiadora.com.br Online
Fale com a gente pelo WhatsApp
×