Clique nas imagens para ampliar
IMPRESSORA PARA EXAMES DE IMAGEM:
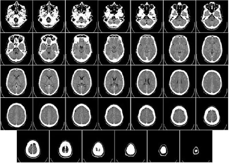
Os processos feitos pela impressora para exames de imagem permitem que clínicas e hospitais dos mais variados ramos da medicina tornem seus processos de diagnóstico mais confiáveis e ágeis, quando comparado ao processo tradicional feito pela impressão em filme dry.
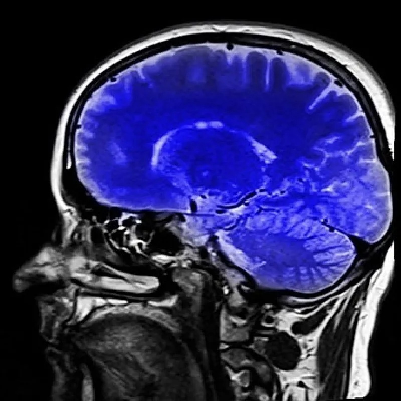
Este processo, realizado com a impressora para exames de imagem, permite alcançar alta qualidade com reconstruções em 3D, exames coloridos e em diversos tamanhos. Dessa maneira, não existe mais a necessidade de impressão em mídias caras e dispositivos especializados para revelação.
VANTAGENS QUE A IMPRESSORA PARA EXAMES DE IMAGEM OFERECE
Com a locação de impressora para exames de imagem é possível imprimir exames em papel, com cores vivas, vibrantes e realistas, com qualidade fotográfica e em alta definição, ajudando na constatação de diagnósticos.
A integração com sistemas médicos HIS, RIS e PACS faz do gerenciamento de recursos mais eficaz. A impressora para exames de imagem pode ser feita em conjunto com aparelhos de diagnóstico por imagem ou por conversores específicos.
Neste tipo de serviço, podem ser locados diversos tipos de equipamentos de impressão para exames de imagem para diversas áreas, além de variados benefícios, como:
manutenção pontual e periódica de equipamentos de impressão de exames médicos;
destinação correta dos resíduos;
treinamento da equipe responsável pelo manuseio diário dos equipamentos;
possibilidade de gerenciamento a distância das cópias impressas; e
reposição dos suprimentos das máquinas, como toner, tinta, cera, entre outros.
LOCAÇÃO DE IMPRESSORA PARA EXAMES DE IMAGEM DA COPIADORA
A partir do processamento da imagem, ela pode ser enviada diretamente à plataforma de emissão dos laudos, e tudo a distância. Já a empresa, por sua vez, pode repassar este exame ao especialista, que definirá o laudo médico. No segmento de copiadoras e impressoras desde 1979, A Copiadora é uma empresa com sede em Mogi Guaçu, São Paulo, com profissionais especializados no segmento. Com seu atendimento comprometido e versatilidade nas soluções, a missão de A Copiadora é levar serviços e produtos de qualidade, com ideias e produtos eficientes a seus parceiros e clientes. A Copiadora sempre oferece soluções aos mais diversos perfis de clientes de São Paulo e cidades num raio de 150 km de sua sede.
Para saber mais sobre Impressora para exames de imagem
Ligue para 19 3831-4989 ou clique aqui e entre em contato por email.Gostou? compartilhe!
